近日,有一條新聞引發網友關注:河南鄭州一名6歲女孩跟隨家人對老家房子進行清掃,隨后就開始持續發燒。經醫院檢查,發現其腦部被真菌侵蝕出很多個“空洞”。罪魁禍首,就是老房子里霉變粉塵中的“煙曲霉”。

“煙曲霉”到底是什么?有何危害?臨近春節“撣塵掃房”時,如何杜絕健康隱患?
“煙曲霉”是什么?
通常在哪些環境中滋生?
煙曲霉是曲霉菌的一種,曲霉又是一類廣泛存在于自然界的絲狀真菌。
在我國曲霉菌感染中,煙曲霉感染最多見,其次為黃曲霉、黑曲霉、土曲霉等。煙曲霉菌常隱藏在大家不注意的角落,比如墻角、廚房水池灶臺、冰箱內部、洗衣機內部、空調、長時間不用的書籍和地毯等地方。
大部分人機體免疫功能正常,身體會自動把霉菌清除。只有當霉菌數量過多,且人的抵抗力較差時,才容易感染,并非接觸霉菌就會感染。
類似事件并非個例。
2025年4月,浙江杭州一女子整理衣柜后出現發燒、咳嗽的癥狀,體溫最高達40℃。醫生問診得知,該女子整理衣柜時發現柜內長了霉斑,便動手清理,但清理過程中沒戴口罩。經檢查,最終確診其感染曲霉菌。

2025年1月,江蘇揚州的張大爺為迎接春節開始大掃除,清掃過程中不慎吸入大量灰塵和霉菌孢子,導致哮喘發作。張大爺隨即服用了常備的哮喘治療藥物,可癥狀反而逐漸加重。經檢查,張大爺的肺部出現感染,確診為肺曲霉病。
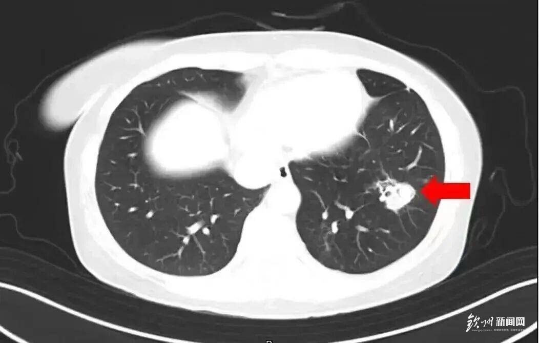
北京佑安醫院感染綜合科主任醫師李侗曾介紹,對于免疫力低下的人,吸入了這些真菌,就會發病引起肺部的病變——曲霉肺炎。因為它是通過呼吸道感染的,進入血液后是可以擴散到全身。大腦因為血供最豐富,所以也是真菌最容易侵犯的器官。
可別小瞧!
很多疾病由霉菌引起
家里出現霉點不僅影響美觀,還對人體呼吸系統、皮膚、腸道等有潛在威脅。有的霉菌甚至有潛在致癌風險,比如黃曲霉菌能分泌黃曲霉毒素,是一類致癌物。
侵襲呼吸系統
黑曲霉多附著在潮濕的淋浴間及洗漱臺周圍,容易侵襲孩子、老人或免疫力較弱的人群,誘發呼吸系統疾病和肺病;瓜枝孢多附著在墻面,或浮在空氣中,易引發哮喘和呼吸系統疾病。
煙曲霉等特定霉菌,對免疫力較弱的人,還可能帶來致命的肺部感染。煙曲霉被世界衛生組織列入首份真菌“重點病原體”清單,侵襲性曲霉菌病一旦發生就是危重癥。腐爛的落葉上很可能就附著了煙曲霉。

誘發過敏
霉菌還是重要的過敏原,它能形成網狀的菌絲體,產生大量孢子。霉菌孢子體積小,在空氣中容易飛散,有些人會出現眼睛皮膚發紅發癢、鼻塞、咳嗽等情況。
北京同仁醫院曾對門診過敏性鼻炎患者統計發現,霉菌是過敏性鼻炎的重要原因之一,且夏季更活躍。
引起胃腸炎
霉菌容易造成感染,比如念珠菌引發的食道炎及胃腸炎等。
家中霉菌如何清理?
霉菌通??赏ㄟ^高溫(水溫80℃以上、陽光暴曬等)、按說明書配置84消毒液等方式殺滅。對于墻體發霉,如果霉點不嚴重,可用抹布直接擦掉,也可用漂白水噴霧(有顏色的墻面慎用);如為墻紙,不能用水擦,要用布浸點酒精抹拭。
需要提醒的是,在進行除霉操作時,最好佩戴手套、口罩,并開窗通風。

春節大掃除,這些要注意!
春節大掃除時,很多人都會使用清潔劑。有不少人認為清潔劑各有不同功效,混合使用效果會更好,這其實是一種誤解,清潔劑混用有時可能產生有毒氣體。
潔廁靈+84消毒液=氯氣中毒
氯氣是一種有毒且具有強烈刺激性的氣體,會使人惡心、嘔吐、胸口疼痛和腹瀉。
84消毒液+洗衣液=有毒物質
洗衣液和84消毒液混合會發生中和反應,降低清潔效果,甚至產生有毒物質。
洗潔精+潔廁靈=清潔效果減弱
洗潔精是堿性清潔劑;潔廁靈屬于酸性清潔劑。二者混合會發生中和反應,導致清潔效果大打折扣。
如何避開清潔劑使用“雷區”?
清掃工作前應佩戴專用手套,避免雙手直接接觸清潔劑。
戴上口罩,避免清潔劑刺激呼吸道。
戴上護目鏡,以防清潔劑濺入眼睛,造成眼部損傷。
避免清潔劑“混搭”使用。